Forscher aus dem Universitätsklinikum Ulm möchten herausfinden, welche molekular-genetischen Fehlregulationen des NOTCH-Signalweges die Entstehung einer Chronisch Lymphatischen Leukämie begünstigen. Gefördert wird das Forschungsvorhaben von der Deutschen Krebshilfe mit 430 000 Euro. Die Ergebnisse sollen dabei helfen, prognostische Marker zu entwickeln, die den Schweregrad und Krankheitsverlauf dieser Leukämieform vorhersagen. Außerdem versprechen sich die Wissenschaftler Erkenntnisse zur detaillierten Aufklärung therapeutischer Wirkmechanismen sowie Ansatzpunkte für neuartige Therapien.
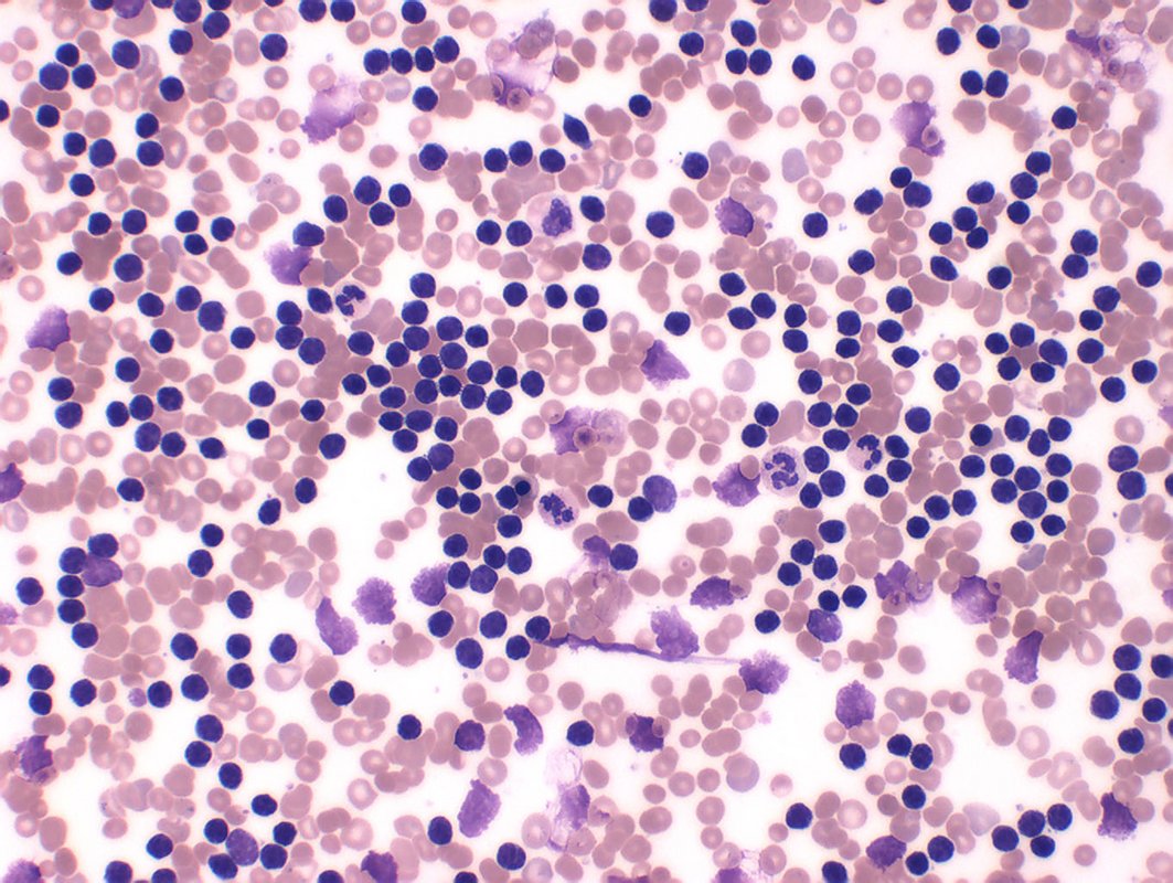
Die Chronisch Lymphatische Leukämie (CLL) gehört zu den häufigsten Blutkrebs-Formen bei Erwachsenen. Bei dieser Erkrankung vermehren sich funktionslose weiße Blutzellen über ein gesundes Maß hinaus, weil der natürliche Ausleseprozess gestört ist. Diese bösartigen B-Lymphozyten gelten als „immuninkompetent“, tragen also nicht mehr zur Funktion des Immunsystems bei. Stattdessen reichern sie sich in krankhaft erhöhter Anzahl in Lymphknoten, Milz, Leber oder Knochenmark an – und natürlich im Blut, wo sie im Anfangsstadium der Krankheit häufig bei Routineuntersuchungen entdeckt werden. „Schon länger ist bekannt, dass bei der Entstehung dieser bösartigen lymphatischen Erkrankung Fehlfunktionen des sogenannten NOTCH-Signalweges eine Schlüsselrolle spielen“, erklärt Professor Franz Oswald. Der Wissenschaftler leitet an der Klinik für Innere Medizin I des Universitätsklinikums Ulm eine Arbeitsgruppe zu diesem besonderen Signalübertragungsweg. Der NOTCH-Signalweg spielt nicht nur bei der Embryonalentwicklung eine Schlüsselrolle, sondern er ist auch später an der Steuerung wichtiger biologischer Prozesse wie der Regulierung von Organfunktionen und der Blutbildung beteiligt. Gemeinsam mit PD Dr. Daniel Mertens will Oswald nun herausfinden, welche Fehlregulationen des NOTCH-Signalweges die Entstehung einer CLL begünstigen. Mertens forscht zur Leukämieentstehung an der Ulmer Klinik für Innere Medizin III sowie am Deutschen Krebsforschungszentrum (DKFZ) in Heidelberg.
Im gemeinsamen Forschungsprojekt geht es unter anderem um folgende Fragen: Welche Mutationen – sowohl im NOTCH-Gen selbst, als auch in Genen, deren Produkte (Proteine) am NOTCH-Signalweg beteiligt sind – fördern die Entstehung einer CLL? Welche genetischen Veränderungen beeinflussen den Krankheitsverlauf beziehungsweise die Schwere der Erkrankung?
Die Wissenschaftler untersuchen dabei nicht nur die unmittelbaren Funktionsstörungen im NOTCH-Protein. Sie beschäftigen sich auch mit der Frage, was passiert, wenn andere mutierte Proteine in CLL Zellen mit dem NOTCH-Protein interagieren und so den NOTCH-Signalweg stören. Denn solche Protein-Protein-Interaktionen sind für die Feinjustierung des NOTCH-Signalweges verantwortlich. Kommt es hier zu Abweichungen oder Störungen, gibt es Probleme und Fehlfunktionen bei der Signalübertragung. „Ursächlich für die Fehlfunktionen des NOTCH-Signalweges sind mutationsbedingte Veränderungen in der Erbsubstanz, die sich sowohl beim Ablesen des NOTCH1-Gens bemerkbar machen als auch bei der Übersetzung der genetischen Information in das NOTCH-Protein“, so die Forscher. Franz Oswald und Daniel Mertens sind davon überzeugt, dass dabei nicht nur Mutationen im codierenden Bereich des Gens für die Funktionsstörungen des NOTCH-Signalweges von Bedeutung sind, sondern dass auch genetische Veränderungen in nicht codierenden Bereichen NOTCH-Dysfunktionen auslösen und damit die Entstehung von Chronisch Lymphatischer Leukämie befördern. „Die ersten Vorergebnisse hierzu sind vielversprechend und deshalb wollen wir diesen Ansatz, der in der bisherigen CLL-Forschung kaum Beachtung gefunden hat, mit Nachdruck verfolgen“, betonen die Wissenschaftler.
Die Ulmer Forscher wollen die Ergebnisse des Forschungsvorhabens sowohl für diagnostische als auch für therapeutische Zwecke nutzen. So können entsprechende prognostische Marker entwickelt werden, die in der Lage sind, Verlauf und Schwere der Erkrankung besser vorherzusagen. Außerdem tragen die neuen Forschungserkenntnisse dazu bei, das Verständnis der molekulargenetischen Zusammenhänge so zu vertiefen, dass neue Ansatzpunkte für Therapien gefunden werden können. Die Deutsche Krebshilfe fördert das Projekt mit 430 000 Euro.


