The adaptive immune system is central to maintaining health and mounting effective defenses against disease. Among its key players, B cells are uniquely versatile: they produce antibodies, secrete cytokines, shape immune memory, and influence other immune cells through dynamic interactions. Yet, their behavior is highly context-dependent, shifting in response to physiological stress, trauma, Cancer, and other pathological conditions.
Our group studies how adaptive immunity, particularly B cells, adapts and responds across different states of health and disease. We explore how B cells communicate with T cells, macrophages, and other immune counterparts, and how these interactions shape the immune microenvironment.
By combining cellular immunology with molecular signaling studies, we aim to uncover the principles that orchestrate B cell phenotype, functional plasticity, and fate decisions. Ultimately, our goal is to translate this knowledge into strategies that restore or enhance adaptive immunity to improve robustness and recovery in various clinical contexts, including traumatic injuries, infection, and Cancer.
Group Leader


Publications
• Abdelrasoul H.: B-Cell Co-culture in the Tumor Microenvironment of Solid Tumors Using Pancreatic Cancer as a Tumor Model. B-Cell Receptor Signaling. Methods in Molecular Biology, 2025, vol 2909.
• Yang X, Qiao Y, Sun Y, Abdelaal T, Schuck K, Abdelrasoul H, Ryschich E, De La Torre C, Dong Y, Hu J, Fang C, Huang X, Kahlert C, Herr I, Michalski C and Kong B. Arp2/3 complex-dependent cell migration through extracellular matrices is essential for invasive front formation in pancreatic cancer. (Manuscript under review).
• Jumaa H, Abdelrasoul H & Setz CS. Treatment and/or prevention of an infection by mono/divalent and polyvalent antigen particle-mediated immune responses. 2023, Patent. patents.google.com/patent/CA3205797A1/en.
• Gihring A, Gärtner F, Mayer L, Roth A, Abdelrasoul H, Kornmann M & Elad L, Knippschild U. Influence of bariatric surgery on the peripheral blood immune system of female morbid obese patients revealed by high-dimensional mass cytometry. Front Immunol, 2023, 11;14:1131893
• Ketzer F, Abdelrasoul H, Vogel M, Marienfeld R, Müschen M, Jumaa H, Wirth T & Ushmorov A. CCND3 is indispensable for the maintenance of B-cell acute lymphoblastic leukemia. Oncogenesis, 2022, 10;11(1):1
• Vadakumchery A, Faraidun H, Ayoubi OE, Outaleb I, Schmid V, Abdelrasoul H, Amendt T, Khadour A, Setz C, Göhring K, Lodd K, Hitzing C, Alkhatib A, Bilal M, Benckendorff J, Al Shugri AK, Brakebusch CH, Engels N, Datta M, Hobeika E, Alsadeq A & Jumaa H. The small GTPASE RhoA links SLP65 activation to PTEN function in pre-B cells and is essential for the generation and survival of normal and malignant B cells. Front Immunol, 2022, 15;13:842340
• Abdelrasoul H, Vadakumchery A, Werner M, Lenk L, Khadour A, Young M, El Ayoubi O, Vogiatzi F, Krämer M, Schmid V, Chen Z, Yousafzai Y, Cario G, Schrappe M, Müschen M, Halsey C, Mulaw M A, Schewe D M, Hobeika E, Alsadeq A & Jumaa H. Synergism between IL7R and CXCR4 drives BCR-ABL induced transformation in Philadelphia chromosome-positive acute lymphoblastic leukemia. Nature Communications, 2020, 11: 3194
• Abdelrasoul H, Werner M, Setz CS, Okkenhaug K & Jumaa H. PI3K induces B-cell development and regulates B cell identity. Scientific reports, 2018, 8:1327
• Setz CS, Hug E, Khadour A, Abdelrasoul H, Bilal M, Wossning T & Jumaa H. PI3K-mediated Blimp-1 activation controls B cell selection and homeostasis. Cell reports, 2018, 24: 391–405
• Selim K, Abdelrasoul H, Aboelmagd M & Tawila A M. The role of the MAPK signaling, topoisomerase and dietary bioactives in controlling cancer incidence. Diseases, 2017, 5: 2
Team
- Sonja Braumüller (Technician)
- Lena Dörfer (Technician)
- Amélie Faller (Student)
- Jennifer Heitkamp (Student)
- Sarah Böck (Trainee)
Research topics
Traumatic injuries induce strong systemic inflammatory responses that can interrupt adaptive immune system homeostasis, leaving patients vulnerable to opportunistic infections and other complications. These responses are triggered by a combination of danger signals, including damage- and pathogen-associated molecular patterns (DAMPs & PAMPs), inflammatory cytokines, and self-antigens. Our immune response to trauma varies considerably by type and severity of the injury, as well as by the nature of our immune memory. These variations make studying the impact of trauma on the adaptive immune system challenging.
Our group aims to understand how traumatic injuries reshape adaptive immunity on the level of cellular interactions and signal transduction. We especially aim to advance our knowledge about how traumatic injuries impact a unique component of our adaptive immune system, specifically B lymphocytes. We investigate their phenotypic changes, functional fates, and interactions with other immune counterparts in the injured environment. Additionally, we investigate strategies for redirecting injury responses to help restore adaptive immune system homeostasis and full B cell functionality.
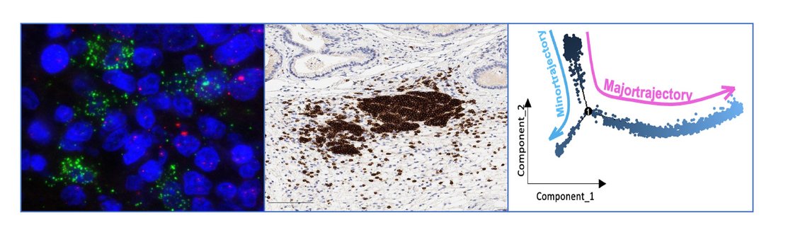
We investigate the multifaceted roles of B lymphocytes within solid tumour microenvironments, focusing on how they infiltrate tumour tissue, undergo phenotypic adaptation, and organise into structures such as tertiary lymphoid structures (TLSs). Our research explores the dynamic interactions between B cells and other immune or stromal components, including T cells, macrophages, and cancer-associated fibroblasts, and how these cellular dialogues can either promote anti-tumour immunity or support immune evasion and tumour progression.
Using advanced immunophenotyping (including flow cytometry, multiplex immunofluorescence, bioinformatic analysis, and functional co-culture models), we aim to define the determinants of B-cell fate and function in the tumour context. Ultimately, our goal is to uncover novel principles of B-cell-mediated immune regulation in cancer and to leverage this knowledge to develop innovative immunotherapeutic strategies that improve patient outcomes.
Join Us
Sind Sie fasziniert davon, wie das Immunsystem auf Verletzungen und Krankheiten reagiert? Möchten Sie Teil eines dynamischen und internationalen Forschungsteams werden? Wir freuen uns, motivierte Bachelor-, Master- und Doktorand*innen für unsere Forschungsgruppe am Universitätsklinikum Ulm willkommen zu heißen.
Unsere Forschungsthemen: Adaptive Immunität & B-Zell-Biologie bei Trauma und Krebs Das adaptive Immunsystem spielt eine zentrale Rolle für die Aufrechterhaltung der Gesundheit und die Abwehr von Krankheiten. Zu seinen vielfältigen Akteuren gehören B-Zellen, die nicht nur Antikörper produzieren, sondern auch Zytokine freisetzen, das immunologische Gedächtnis regulieren und in komplexer Weise mit anderen Immunzellen interagieren. Ihr Verhalten ist dabei stark kontextabhängig, insbesondere bei physiologischem Stress, Trauma oder Krebserkrankungen.
Wir bieten:
• Innovative und spannende Forschungsprojekte, abgestimmt auf Ihr Qualifikationsniveau
• Unterstützung und Mentoring für Ihre akademische und berufliche Entwicklung
• Regelmäßige Labormeetings zum Austausch von Ergebnissen, Feedback und gemeinsames Lernen
• Einbindung in ein internationales Forschungsumfeld
• Praktische Erfahrungen mit modernsten Labortechniken wie Durchflusszytometrie, ELISA, GenEditing, fortgeschrittenen Zellkulturmethoden (einschließlich 3D-Cokultur), Fluoreszenzmikroskopie und vielen weiteren state-of-the-art Verfahren
Wir fördern eine Kultur von Neugier, Zusammenarbeit und Vielfalt in der Wissenschaft. Unser Team steht für ein unterstützendes, freundliches und wertschätzendes Arbeitsumfeld, in dem sich jede*r wissenschaftlich und persönlich weiterentwickeln kann.
Wir freuen uns über Bewerbungen von internationalen Studierenden, die Interesse an Immunologie und B-Zell-Biologie haben und ggf. internationale Promotionsstipendien anstreben.
Interessiert? Bitte senden Sie ein kurzes Motivationsschreiben sowie Ihren Lebenslauf per E-Mail an die Arbeitsgruppenleiterin Dr. Hend Abdelrasoul (hend.abdelrasoul@uniklinik-ulm.de). Für Rückfragen steht Ihnen Frau Dr. Abdelrasoul auch telefonisch zur Verfügung: +49 731 50054807
Are you fascinated by how the immune system responds to injury and disease? Interested in working with a dynamic and international research team? We are excited to welcome motivated Bachelor’s, Master’s, and Doctoral students to join our group at Ulm University Hospital.
What we study: Adaptive Immunity & B Cell Biology in Trauma and Cancer The adaptive immune system is central to maintaining health and defending against disease. Among its most versatile players are B cells, which produce antibodies, secrete cytokines, orchestrate immune memory, and cross-talk with other immune cells. Their behavior is highly context-dependent, especially during physiological stress, trauma, or cancer.
What we offer:
• Innovative and engaging research projects tailored to your level of training
• Supportive mentorship and guidance for your academic and career development
• Regular lab meetings to discuss results, provide feedback, and foster collaborative learning
• Integration into an international research environment
• Hands-on experience with a wide range of cutting-edge laboratory techniques, including flow cytometry, ELISA, gene editing, advanced cell culture methods (including 3D co-culture), fluorescent microscopy, and many other state-of-the-art approaches
We foster a culture of curiosity, collaboration, and diversity in science. Our team is committed to a supportive, friendly, and blame-free environment, where every member is encouraged to grow and succeed scientifically and personally.
We welcome applications from international students who are: Interested in Immunology, B-cell biology, and willing to apply for international PhD scholarships.
If interested: Please send an email with a short letter of motivation and your CV to the research group leader, Dr. Hend Abdelrasoul (hend.abdelrasoul@uniklinik-ulm.de). Further information is also available by phone at +49- 0731 50054807.

