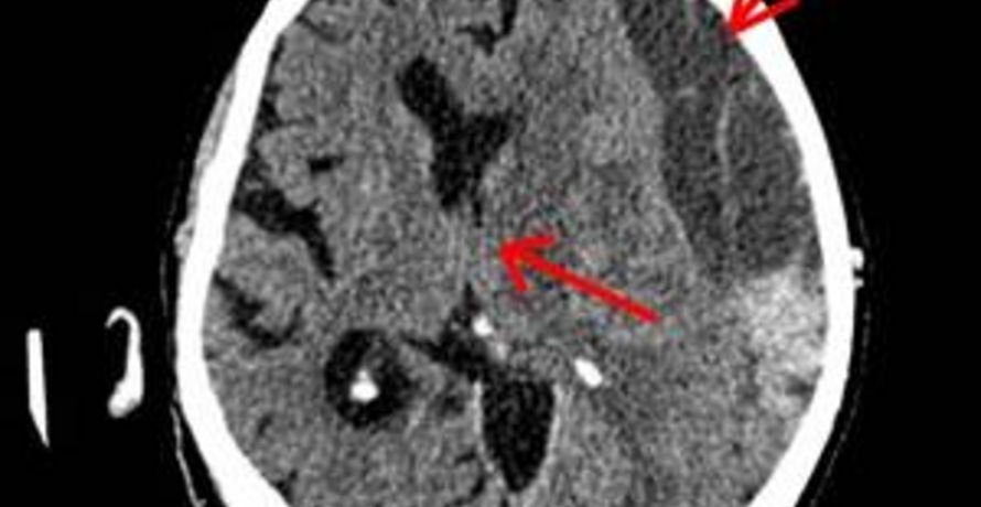
A traumatic brain injury is the result of external violence to the head. This results in a functional disorder or injury to the brain and/or its membranes such as the meninges, bony skull, skin or the vessels supplying the brain. It is common to categorise the severity of a traumatic brain injury based on the brain functions: best eye opening, best motor response and best verbal response (Glasgow Coma Score) into mild, moderate and severe traumatic brain injury. Head injuries without functional disorders of the brain or injuries to the brain are called cranial contusions.
| Single score | Eye opening | Verbal response | Motor response |
| 6 | - | - | Follows orders |
| 5 | - | orientated | Targeted pain defence |
| 4 | spontaneous | disorientated, responding | untargeted pain defence |
| 3 | on request | incoherent words | Flexion synergisms |
| 2 | on pain stimulus | incomprehensible | extensor synergisms |
| 1 | no eye opening | no verbal response | No motor response |
| Total | Mild TBI (15-13) | Moderate TBI (12-9) | Severe TBI (8-3) |
Glasgow Coma Score according to Teasdale and Jennett [G. Teasdale, B. Jennett: Assessment of coma and impaired consciousness. A practical scale, in: Lancet, Vol. 2, 1974, pp. 81-84]. There is an extended categorisation for children, as children are unable to follow instructions depending on their age.
In Germany, the incidence of traumatic brain injury is around 330/100,000 inhabitants. This does not include a high number of unreported cases. The most common type of traumatic brain injury is mild (approx. 90%), with the remainder divided equally between moderate (approx. 5%) and severe (approx. 5%) traumatic brain injury.
Traumatic brain injury represents a significant medical, psychological, economic and financial problem in our society. Prevention and advances in pre-hospital care, the rapid diagnostic capabilities of computed tomography and the understanding of the pathophysiology of traumatic brain injury have led to a reduction in severe traumatic brain injury and more frequent survival. Nevertheless, brain injury is one of the most common causes of mortality in humans under the age of 45 and often results in physical and/or neuro-psychological disability.
The chances of survival and the risk of disabling (physical, psychological and cognitive) consequences depend, among other things, on age, previous illnesses, the presence of other injuries, and the type and severity of the injury. In general, very young (< 1 year) and older patients (>70 years) have a high risk of a poor treatment outcome in the event of a severe traumatic brain injury. Acute treatment in hospital is often followed by rehabilitation. This is an important factor in the reintegration into everyday life in the case of moderate and severe traumatic brain injury.
In addition to the current research focus on cellular damage after traumatic brain injury, there are considerable scientific efforts to restore brain functions relating to attention, concentration, memory and problem solving.







