Fußchirurgie
Leonardo da Vinci, der große Künstler der italienischen Renaissance beschrieb den Fuß so: "Der menschliche Fuß ist ein Kunstwerk aus 26 Knochen, 107 Bändern und 19 Muskeln".
Unser ganzes Körpergewicht lastet auf den Füßen. Vielfältige Probleme können unsere Füße verursachen. Der Fuß kann in verschiedene Bereiche eingeteilt werden, in den Vorfußbereich mit den Zehen, den Mittelfuß und den Rückfußbereich. Unten aufgeführt sind die bedeutsamsten Erkrankungen des Fuß dargestellt, welche wir häufig behandeln.
Ansprechpartner
Sprechstunde
Freitag: 8:00 - 13:00 Uhr
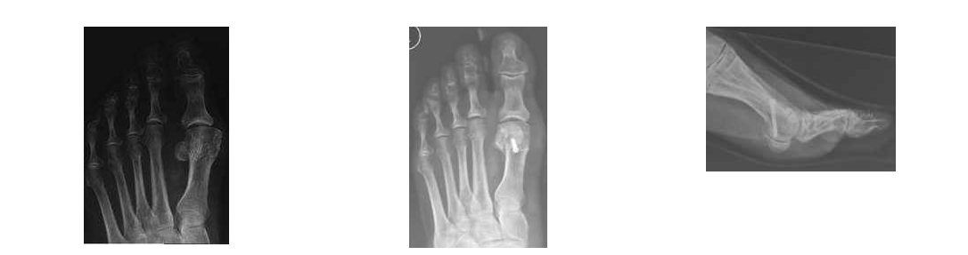
Vorfußchirurgie
Beschwerden des Vorfußes treten häufig in der Folge einer Spreizfußdeformität auf. Die Großzehe kann deformiert werden, indem sie nach außen abgedrängt wird. Dies kann ein Druckproblem im Schuh und auch einen Konflikt mit den benachbarten Kleinzehen nach sich ziehen und diese verformen. Auch Belastungsschmerzen unter den Mittelfußköpfchen können als Folge des Spreizfußes auftreten.
An Therapiemöglichkeiten stehen Einlagenversorgung und Zurichtungen am Schuh zur Verfügung. Sind die nichtoperativen Möglichkeiten ausgeschöpft und treten weiterhin Beschwerden auf oder die Deformität schreitet fort, so stehen eine beträchtliche Auswahl operativer Maßnahmen zur Verfügung, die abhängig von der Ausprägung der Deformität zum Einsatz kommen. Hierzu wird in der Regel ein Röntgenbild benötigt, welches unter Belastung des Fußes angefertigt wird.
Hallux valgus
Die häufigste Vorfußdeformität ist in der Regel durch einen Spreizfuß verursacht. Mit zunehmender Ausprägung der Deformität kommt es zum Schuhkonflikt und zu einer Kompromittierung der benachbarten Zehen, die von der Großzehe verdrängt wird.


Abhängig von den gemessenen Winkeln im Röntgenbild wird das operative Verfahren gewählt. Je ausgeprägter die Fehlstellung, desto aufwändiger ist das operative Verfahren. Im Folgenden werden verschiedene operative Verfahren anhand von Beispielen vorgestellt, die an unserer Klinik durchgeführt werden.



Arthrose des Großzehengrundgelenks
Bei der Arthrose des Großzehengrundgelenks kommt es zur zunehmenden schmerzhaften Bewegungseinschränkung des Gelenks. Im Röntgenbild kann dies erkannt werden. An Behandlungsmöglichkeiten stehen zu Beginn Spezialeinlagen und/oder Abrollhilfen am Schuh zur Verfügung. An operativen Therapiemöglichkeiten kommen zu Beginn noch gelenkerhaltende Operationen, bei weit fortgeschrittener Arthrose kommt die Versteifung dieses Gelenkes in Frage.



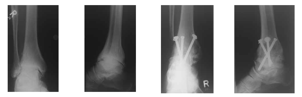
Mittel- und Rückfußchirurgie bei Arthrose
Bei Arthrosen des Mittel- und Rückfußes wird versucht, mit Einlagen und Schuhzurichtungen die Beschwerden zu beeinflussen. Führt dies nicht zur Linderung, so wird die operative Versteifung einzelner Gelenke durchgeführt. Die totalendoprothetische Versorgung des oberen Sprunggelenks wird ebenfalls in unserem Haus angeboten und stellt bei ausgewählten Indikationen (z.B. rheumatoider Arthritis) eine Therapieoption dar.


Rückfußdeformität
Deformitäten wie Knick-Plattfuß und Klumpfuß haben ihre Ursachen im Mittel- und Rückfuß. Bei Schmerzen im Jugend- und Erwachsenenalter wird zuerst versucht, die Beschwerden durch Einlagen, Schuhzurichtungen, ggfs. orthopädisches Schuhwerk zu lindern. Bei Entscheidung zu operativen Maßnahmen wird das Ausmaß der Deformität und der Beschwerden, sowie das Röntgenbild herangezogen. Zur Klumpfußdeformität siehe das entsprechene Kapitel unter Kinderorthopädie.

Achillessehnenruptur
Der Riß der Achillessehne ist häufig eine Folge von Vorschädigungen. Sehr häufig muß er mittels Naht der Sehne operativ therapiert werden, um eine gute Funktion (Zehenstand, Laufen) wiederherzustellen. Nach der Operation ist eine lange Nachbehandlungsdauer von ca. 3 Monaten erforderlich, da Sehnengewebe nur langsam heilt.
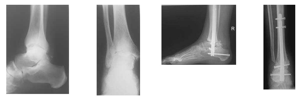
Osteochondrosis dissecans tali
Die Osteochondrosis dissecans der Talusschulter am oberen Sprunggelenk (Durchblutungsstörung des Sprungbeines) kann bei Beschwerden im Erwachsenenalter durch Anbohrung des Knochens behandelt werden, um die Durchblutung zu verbessern. Ist der Knorpel-Knochen-Komplex bereits eingebrochen, kann eine Knorpel-Knochentransplantation (OATS oder Mosaikplastik) durchgeführt werden. Hierzu werden ein oder mehrere Knorpel-Knochenzylinder aus dem Kniegelenk entnommen, welche dann im Sprungbein (Talus) eingesetzt werden und den zerstörten Gelenkanteil ersetzen. Hierzu ist es oft nötig, dass der Innenknöchel durchtrennt werden muss, um den Defekt im Sprungbein behandeln zu können. Der Innenknöchel wird anschließend wieder mit einer Schraube und einem Draht fixiert. Eine mehrere Woche dauernde Entlastung zur Einheilung des Knorpel-Knochenzylinders und Innenknöchelheilung ist hierfür nötig.


Teleskopnagelung in der Osteogenesis imperfecta-Behandlung
Bei der operativen Behandlung steht die Versorgung von Knochenbrüchen oder Achsfehlstellungen mit Teleskopnagelungen im Vordergrund. Aus orthopädischer Sicht ist trotz ständiger Bruchgefahr viel Bewegung wichtig, um eine stützende Muskulatur aufzubauen und Skelettveränderungen vorzubeugen bzw. zu verzögern.
Ausgewählte Vorträge & Publikationen
- Lutz B, Kappe T, Reichel H, Taurman R. Proximal to distal phalangeal articular angle of the first proximal phalanx: Reliability and correlation with round sign. Foot Ankle Surg 2022; 28(8):1411-1414
- Lutz B. Verwendung des 3D-Drucks für die Planung in der Fuß- und Sprunggelenkschirurgie: ein systematisches Review. DAF-Kongress 2022; Postervortrag
- Lutz B, Taurman R, Reichel H. Wann ist die Akin-Osteotomie indiziert? Reliabilitätsanalyse des PDPAA, VSOU-Kongressposter 2021; Kurzvortrag
- Dornacher D, Reichel H, Taurman R. Späte Diagnose bei tarsalen Coalitiones. Jahreskongress der Vereinigung für Kinderorthopädie, Münster, 2014

