Gelenkerhaltende Chirurgie am Hüftgelenk
Die gelenkerhaltende Hüftchirurgie beschäftigt sich mit zwei Abweichungen von der Norm: dem „zu wenig“ und dem „zu viel“ der knöchernen Formgebung des Hüftgelenks. Beiden Formen ist gemein, dass sie unbehandelt einen vorzeitigen Gelenkverschleiß (eine sog. Hüftgelenkarthrose) herbeiführen können.
Bei durch Fehlstellungen oder Fehlformen drohendem vorzeitigen Gelenkverschleiß zielt die gelenkerhaltende Chirurgie auf eine Verbesserung der Biomechanik des betroffenen Gelenks, wodurch Gelenkbeschwerden reduziert und das Voranschreiten des Gelenkverschleisses vermindert werden. Da trotz zahlreicher Fortschritte in der Endoprothetik mittlere Prothesenstandzeiten auf bisher etwa 15 bis 20 Jahre limitiert bleiben, spielt die gelenkerhaltende Hüftchirurgie in der Versorgung jüngerer Erwachsenen eine bedeutende Rolle.
Wichtige Krankheitsbilder sind hierbei z.B. die Hüftdysplasie oder das femoroacetabuläre Impingement. Diese werden im Folgenden noch genauer erläutert.
Allgemeine Sprechstunde
Mittwoch: 08:00 - 12:00 Uhr
Privatsprechstunde
Montag: 08:30 - 16:00 Uhr
Hüftdysplasie
Bei der Hüftdysplasie (auch als Hüft-, Hüftpfannen- oder Pfannendachdysplasie bezeichnet) führt eine nicht ausreichende Überdachung durch die knöcherne Hüftgelenkspfanne zu einer erhöhten Druck- und Scherbelastung des knöchernen und weichteiligen Pfannenrandes, die sich zunächst als Schmerzen äußern und u. U. einen sehr raschen Gelenkverschleiß einleiten kann. Der Zusammenhang zwischen knöcherner Minusvariante der Hüftgelenkspfanne und Hüftgelenkarthrose-Entwicklung ist seit langem bekannt.
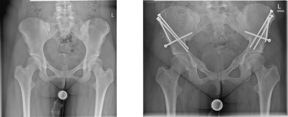
Die operative Therapie der Pfannendachdysplasie zielt auf eine Reduktion der Druck- und Scherbelastung des knöchernen und weichteiligen Pfannenrandes. Hierzu führen wir eine Dreifach-Beckenosteotomie (die sog. Triple-Osteotomie nach Tönnis und Kalchschmidt) durch, bei der die Hüftgelenkspfanne aus dem Beckenknochen durch drei „Knochenschnitte“ herausgelöst, in eine biomechanisch günstigere Position gedreht und in dieser mit Schrauben fixiert wird. Dieser Eingriff zieht eine verbesserte Hüftkopfüberdachung nach sich.

In besonders gelagerten Fällen muss dieser Eingriff mit einer sog. intertrochantären bzw. subtrochantären Osteotomie, einem „Knochenschnitt“ am Oberschenkelknochen, verknüpft werden, um eine noch günstigere Biomechanik für das betroffene Hüftgelenk zu erzielen.

Femoroazetabuläres Impingement
Ein „zu viel“ der knöchernen Hüftgelenkspfanne oder des Oberschenkelknochenanteils, der mit der Hüftgelenkspfanne in Verbindung steht, beeinträchtigt das normale Bewegungsspiel des Hüftgelenks und führt zu Kollisionen zwischen Oberschenkelknochen und Hüftgelenkspfanne (dem sog. femoroazetabulären Impingement). Neben der bemerkten Bewegungseinschränkung treten in Abhängigkeit von der Häufigkeit solcher Kollisionen und der dabei auftretenden Krafteinwirkung Hüftgelenksschmerzen auf, die mit einem raschen Verschleiß des Hüftgelenkknorpels vergesellschaftet sein können. Der Zusammenhang zwischen femoroazetabulärem Impingement und Hüftgelenkarthrose-Entwicklung ist erst seit 10 bis 15 Jahren genauer bekannt und hat die Entwicklung darauf abgestimmter Behandlungsmethoden möglich gemacht.
Die operative Therapie des femoroazetabulären Impingements zielt auf eine Reduktion der Plusvariante eines knöchernen Formfehlers des Hüftgelenks. Er kann auf der Seite der Hüftgelenkspfanne, des Oberschenkelknochens oder beiden Seiten zu finden sein. Bei einfacher gelagerten Fällen kann er über eine Hüftgelenksspiegelung (Hüftarthroskopie) korrigiert werden, bei komplizierten Fällen ist ein Ausrenken des Hüftgelenks (sog. chirurgische Hüftluxation) nötig, um alle Aspekte des Formfehlers adäquat behandeln zu können. In besonders gelagerten Fällen kann auch eine Korrektur der Hüftpfannenposition über eine Triple-Osteotomie, wie sie oben für die Hüftdysplasie beschrieben ist, nötig sein.
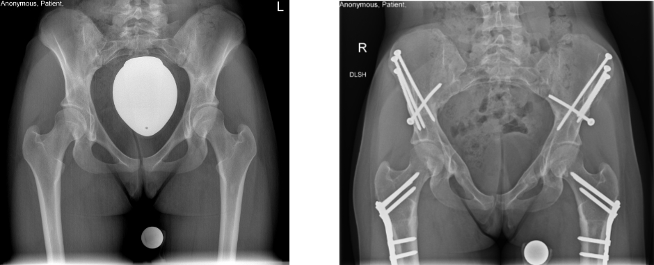
Der „Goldstandard“ in der Behandlung des femoroazetabulären Impingements stellt die chirurgische Hüftluxation dar. Nach dem Ausrenken des Hüftkopfs aus der Hüftgelenkspfanne ist eine optimale Sicht auf beide Gelenkpartner möglich, die eine sorgfältige Behandlung aller Aspekte eines femoroazetabulären Impingements erlaubt. Um den Hüftkopf aus der Hüftgelenkspfanne ausrenken zu können, ist in einem ersten Operationsschritt die Ablösung des grossen Rollhügels (Trochanter major) vom Oberschenkelknochen nötig (Trochanter-Flip-Osteotomie). Der abgelöste Trochanter major wird am Ende der Operation mit zwei Schrauben refixiert, um das Wiederanheilen zu ermöglichen.

Bei der Hüftarthroskopie kann das Hüftgelenk mit speziellen Instrumenten über zwei bis vier Schnitte von etwa 1,5 bis 2 Zentimeter erreicht werden. Dies darf nicht darüber hinweg täuschen, dass im Gelenk grundsätzlich ähnliche Massnahmen durchzuführen sind wie bei der chirurgischen Hüftluxation. Bei muskelkräftigen Patienten oder dicken Gewebeschichten ist die Manövrierfähigkeit der eingeführten Instrumente eingeschränkt, weswegen in solchen Fällen ein offenes Vorgehen zielführender sein kann.

Andere Hüftgelenkserkrankungen
Auch andere Hüftgelenkserkrankungen können mit den bei den Themen Hüftdysplasie und femoroazetabuläres Impingement vorgestellten Methoden, insbesondere der chirurgischen Hüftluxation und der Hüftarthroskopie, behandelt werden. Hierzu zählen beispielsweise: freie Gelenkkörper oder synoviale Erkrankungen (Chondromatose, pigmentierte villonoduläre Synovialitis, u.a.).
Vereinbaren Sie einen Termin in der Sprechstunde, um Ihre Erkrankung individuell zu besprechen.
Ausgewählte Publikationen
- Dornacher D, Lutz B, Fuchs M, Zippelius T, Reichel H: Treatment of borderline hip dysplasia with triple pelvic osteotomy: preoperative values of acetabular index and lateral center edge angle can indicate overcorrection. Arch Orthop Trauma Surg. 2023 Oct;143(10):6139-6146. doi: 10.1007/s00402-023-04920-z
- Dornacher D, Sgroi M, Freitag T, Reichel H, Lutz B. Acetabular orientation in triple pelvic osteotomy: is intraoperative fluoroscopy reliable? Arch Orthop Trauma Surg. 2023 Jul;143(7):3715-3723. doi: 10.1007/s00402-022-04568-1. Epub 2022 Aug 10. PMID: 35947170
- Dornacher D, Lutz B, Fuchs M, Zippelius T, Reichel H:
Acetabular deficiency in borderline hip dysplasia is underestimated by lateral center edge angle alone.
Arch Orthop Trauma Surg. 2023 Jul;143(7):3937-3944. doi: 10.1007/s00402-022-04652-6. Epub 2022 Oct 22. PMID: 36271941 - Dornacher D, Kelsch M, Sgroi M, Reichel H, Lutz B: Screw fixation after triple pelvic osteotomy is relieable: changes of acetabular correction are rare and do not correlate with risk factors. J Orthop Surg Res. 2023; 18: 709
- Dornacher D, Sgroi M, Caffard T, Reichel H, Lutz B: Age and magnitude of acetabular correction impair bone healing after triple pelvic osteotomy. Arch Orthop Trauma Surg. 2023; 143: 6599-6607
- Dornacher D, Lutz B, Freitag T, Sgroi M, Taurman R, Reichel H. Residual dysplasia of the hip after successful ultrasound-monitored treatment: how does an infant’s hip evolve? J Pediatr Orthop B 2022; 31(6):524-531
- Fraitzl CR, Kappe T, Pennekamp F, Reichel H, Billich C. Femoral head-neck offset measurements in 339 subjects: Distribution and implication for femoroacetabular impingement. Knee Surg Sports Traumatol Arthrosc 2013; 21(5):1212-7
- Fraitzl CR, Kappe T, Brugger A, Billich C, Reichel H. Reduced head-neck offset in nontraumatic osteonecrosis of the femoral head. Arch Orthop Trauma Surg 2013; 133:1055-1060
- Kappe T, Kocak T, Reichel H, Fraitzl CR. Can femoroacetabular impingement and hip dysplasia be distinguished by clinical presentation and patient history? Knee Surg Sports Traumatol Arthrosc 2012; 20:387-392
- Kappe T, Kocak T, Bieger R, Reichel H, Fraitzl CR. Radiographic risk factors for labral lesions in femoroacetabular impingement. Clin Orthop Rel Res 2011; 469:3241-3247
