Wirbelsäulenchirurgie
Rückenschmerz ist eines der führenden orthopädischen Probleme in den Industrieländern. Zugrundeliegend ist ein breites Spektrum an Strukturveränderungen und funktionellen Störungen der Wirbelsäule. Eine grundlegende Unterscheidung kann in akut aufgetretene und chronische Rückenschmerzen getroffen werden. Während sich ein überwiegender Anteil der akut aufgetretenen Rückenschmerzen unter entsprechender Übungsbehandlung wieder vollständig zurückbildet, stellen chronische Rückenschmerzen eine Herausforderung an die moderne Medizin mit differenzierter Diagnosestellung und Therapie dar.
Ansprechpartner
Sprechstunde
Mittwoch: 8:00 - 15:50 Uhr
Einen Sprechstundentermin können Sie zeitnah durch einen Anruf bei unserem Patientenservice unter der Nummer 0731-177-2000 erhalten.
Zur Vorstellung in der Sprechstunde sollten alle Unterlagen inklusive Bildgebung (auch im Verlauf) mitgebracht werden, um Doppeluntersuchungen oder Verzögerungen zu vermeiden.
In Notfällen, wie z.B. bei akuten Lähmungen oder Brüchen, können Sie sich außerhalb der regulären Dienstzeiten auch unter 0731-177-0 anmelden.
Apparative Ausstattung
In unserer Klinik stehen zur differenzierten Diagnostik und Therapie folgende Verfahren zur Verfügung:
Röntgen
Sonographie
Computertomographie (CT) mit CT-gestützten wirbelsäulennahen Infiltrationen
Kernspintomographie (MRT)
Elektrophysiologische Diagnostik (in Zusammenarbeit mit der Klinik für Neurologie des Universitätsklinikums Ulm)
Computergestützte intraoperative 2D/3D-Bildgebung und Navigation
Radiofrequenzablation
Operationsmikroskop
Differenzierte Diagnosestellung
Stufenweise werden – beginnend mit einer ausführlichen klinischen Untersuchung sowie Röntgenuntersuchungen – die den Schmerz auslösenden Strukturen der Wirbelsäule eingegrenzt. Abhängig vom vorliegenden Beschwerdebild können weiterführende bildgebende Verfahren (Kernspintomographie/Computertomographie) zusätzliche Informationen bezüglich der Schmerzursache geben. Im Sinne der Stufendiagnostik können anschließend die Beschwerdenverursachenden Strukturen durch Bildwandler- und CT-gestützte Infiltrationen der Zwischenwirbelgelenke, der Nervenwurzeln und/oder des sogenannten Epiduralraumes identifiziert werden.
Behandlungsschwerpunkte
Abhängig von Art und Ausprägung der Erkrankung wird ein konservatives oder operatives Behandlungskonzept eingeleitet.
Kyphose
Eine Kyphose ist eine über das normale Maß hinausreichende Ausbildung eines „Buckels“ der Wirbelsäule. Man unterscheidet vor allem drei Erscheinungsformen:
Die Adoleszentenkyphose (Morbus Scheuermann) ist definiert durch eine Deformierung von mehr als drei Wirbelkörpern im Bereich der Brust- und Lendenwirbelsäule mit Keilform der Wirbelkörper, Verschmälerung des Bandscheibenfaches und Irregularität der Wirbelkörperendplatten (sog. Schmorl`sche Knötchen).
Die kongenitale Kyphose ist eine kurzbogige Deformität der thorakalen bzw. thorako-lumbalen Wirbelsäule aufgrund von angeborenen strukturellen Defekten und häufig assoziiert mit Fehlbildungen anderer Organsysteme.
Weiterführende Informationen zur Spondylitis ankylosans finden Sie als eigenständigen Unterpunkt weiter unten.


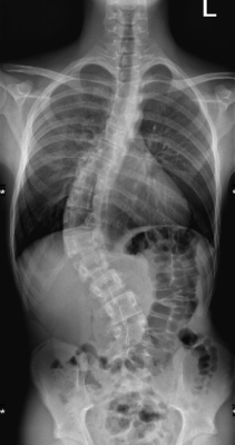
Skoliose
Unter Skoliose versteht man eine dauerhafte Seitverbiegung und Rotation der Wirbelsäule mit gleichzeitiger Verdrehung der Wirbelkörper. Nach ihrer Herkunft lassen sich verschiedene Formen unterscheiden (idiopathisch, kongenital, neuromuskulär, adult), die sich hinsichtlich des Erkrankungsalters, der Ausprägung, des Fortschreitens der Erkrankung und der möglichen Behandlungsverfahren unterscheiden.


Spondylolisthese - Wirbelgleiten
Von einem Wirbelgleiten spricht man bei Verschiebung bzw. Verkippung zweier benachbarter Wirbelkörper gegeneinander. Eine Retrolisthese bezeichnet das Verschieben des kopfnäheren Wirbelkörpers gegenüber dem darunterliegenden Wirbelkörper nach hinten, analog wird das Gleiten des Wirbelkörpers nach vorn als Anterolisthese bezeichnet. Zu unterscheiden ist zwischen einem frühkindlich erworbenen Wirbelgleiten mit vorliegender Defektsituation im Zwischenwirbelbereich des Wirbelbogens (sog. Spondylolyse) und einem verschleißbedingten, degenerativen Wirbelgleiten mit intakten knöchernen Strukturen und begleitender Arthrose der kleinen Wirbelgelenke sowie Insuffizienz der Bandstrukturen.


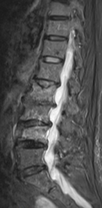
Zervikaler/Lumbaler Bandscheibenvorfall
Im Rahmen degenerativer Verschleißprozesse der Bandscheibe kann es zum Austritt von Bandscheibengewebe in den Wirbelkanal kommen. Durch Bedrängung der dort verlaufenden Nerven kommt es abhängig von der Schädigungshöhe zu Schmerzen, Taubheitsgefühl und Lähmungserscheinungen im Bereich der Arme bzw. Beine. Wird das Rückenmark selbst durch den Druck der Bandscheibe geschädigt, so können Blasen-Mastdarmstörungen oder gar eine Querschnittlähmung auftreten.
Im Normalfall kann der lumbale Bandscheibenvorfall minimalinvasiv mit Hilfe des Mikroskops entfernt werden, ohne dass eine Stabilisierung der Wirbelsäule notwendig ist.


Beim zervikalen Bandscheibenvorfall wird in der Regel die Bandscheibe mit einem Platzhalter ersetzt, nachdem diese unter dem Mikroskop vollständig entfernt wird.

Degenerative Bandscheibenerkrankung
Hierbei handelt es sich um einen altersbedingte Veränderungen des Bandscheibenkerns, d. h. die Pufferfunktion der Bandscheibe nimmt ab. In der Folge kommt es zu Strukturveränderungen der Bandscheibe sowie zu Rissbildungen mit erhöhter Druckbelastung der Wirbelkörperendplatten mit anschließendem Verschleiß.
Das Ziel einer Wirbelsäulenoperation bei degenerativen Veränderungen ist die Schmerzlinderung durch Entlastung der Nerven bei Einengung, die Wiederherstellung des ursprünglichen Profils der Wirbelsäule und eine Ruhigstellung.


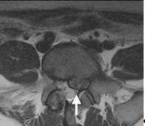
Spinalkanalstenose
Die Spinalkanalstenose ist eine zunehmende dynamische Einengung des Wirbelkanals auf Bandscheibenniveau durch überwiegend degenerative Veränderungen der Bandscheibe, der Wirbelkörperendplatten, der Zwischenwirbelgelenke sowie der umgebenden Bandstrukturen mit und ohne begleitende Instabilität des betroffenen Bewegungssegmentes. Die Lendenwirbelsäule ist hiervon häufiger als die Halswirbelsäule betroffen.
In Abhängigkeit der Ausprägung der Stenose kommen hier minimalinvasive Operationen als auch stabilisierende Operationen in Frage.


Rheumatoide Arthritis
Bei der rheumatoiden Arthritis handelt es sich um eine chronisch entzündliche, meist progressive Systemerkrankung mit den Leitsymptomen Gelenkschmerzen, Morgensteifigkeit, Inappetenz, Abgeschlagenheit, Muskelschmerzen, subfebrilen Temperaturen und Neigung zur depressiven Verstimmung. Eine frühzeitige Diagnosesicherung und Beginn einer medikamentösen Therapie ist für den weiteren Erkrankungsverlauf wichtig. Eine häufige Mitbeteiligung der Halswirbelsäule bei fortgeschrittenem Erkrankungsstadium kann zur Ausbildung einer Instabilität führen und einen operativen Eingriff im Verlauf notwendig machen.


Morbus Bechterew
Der Morbus Bechterew (Spondylitis ankylosans) befällt als chronisch-entzündliche Systemerkrankung vor allem das Achsenskelett. Die Wirbelsäule, die Kreuz-Darmbein-Gelenke, die Schambeinfugen und die kleinen Wirbelgelenke sind besonders häufig betroffen. Innere Organe, wie z. B. Augen, Herzkreislauf-System, Lunge oder Darm, können begleitend erkranken. Die Krankheit beginnt meist zwischen dem 15. und 40. Lebensjahr, eine genetische Prädisposition mit Nachweis eines Krankheitassoziierten Markers (HLA-B27) findet sich bei 90% der Patienten.
Spondylitis/Spondylodiszitis
Eine bakterielle Knochenentzündung der Wirbelsäule (Spondylitis) mit Übergreifen auf die Bandscheibe (Spondylodiszitis) kann unterschiedliche Entstehungsursachen haben. Bei der häufigeren Form der endogen verursachten Knocheneiterung kommt es zu einer Streuung von Bakterien über die Blutbahn mit Absiedlung in den Wirbelkörper. Entsteht eine Knocheneiterung nach Operation oder Infiltration im Bereich der Wirbelsäule, so spricht man von einer exogen verursachten Entzündung.
Osteoporotische Fraktur
Der Bruch eines oder mehrerer Wirbelkörper bei erniedrigter Knochendichte (Osteoporose) ist einer der häufigsten Brüche im Alter. Die Wirbelkörper können ohne adäquate Ursache im Rahmen von Alltagsbelastungen brechen und starke Schmerzen verursachen. Am häufigsten ist die untere Brustwirbelsäule bzw. der Übergang Brust-/Lendenwirbelsäule betroffen. Zusätzlich können Fehlstellungen der Wirbelsäule und Lähmungserscheinungen resultieren.


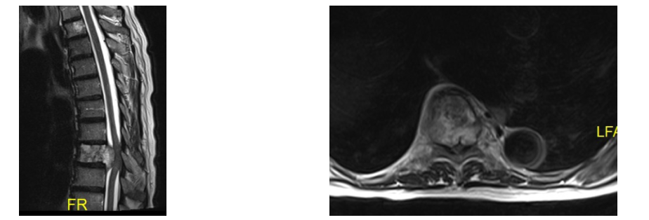
Gut- bzw. bösartige Knochentumoren
Bezüglich primärer gut- bzw. bösartiger Knochentumore möchten wir Sie auf das Teilgebiet Tumororthopädie verweisen. Die Wirbelsäule ist der Anteil des knöchernen Skelettsystems, der am häufigsten von Absiedlungen (Metastasen) von Tumoren anderen Ursprungs (z.B. Brust/Prostata) betroffen ist.


Postnukleotomiesyndrom
Unter einem Postnukleotomiesyndrom versteht man einen anhaltenden oder wiederauftretenden Rückenschmerz mit oder ohne Ausstrahlung in die Beine nach Voroperation im Bereich der Wirbelsäule (z. B. Bandscheibenoperation), bedingt durch einen erneuten Bandscheibenvorfall, Narbenbildung oder segmentale Instabilität.
Multimodale konservative Schmerztherapie
Arzt, Psychologe, Physiotherapeut, Masseur und Ergotherapeut betreuen neben den Pflegekräften als Team Patienten mit chronischen Rückenschmerzen. Hierfür steht Ihnen sowohl unsere Schmerztagesklinik (teilstationäre Therapie) als auch eine spezielle Station (stationäre Therapie) in unserem Haus zur Verfügung. Die Therapie umfasst wirbelsäulennahe Infiltrationen, Schmerztherapie, psychotherapeutische Betreuung, krankengymnastische und balneophysikalische Maßnahmen.

Sequestrektomie
Vorwölbungen oder Vorfälle der Bandscheibe werden über einen kleinen Hautschnitt (minimal-invasiv) und unter Verwendung eines Operationsmikroskops (mikrochirurgisch) entfernt.
Vertebroplastie/Kyphoplastie
Durch Stabilisierung eines gebrochenen Wirbelkörpers (z.B. bei Osteoporose) mit Knochenzement kann eine rasche Beschwerdelinderung mit geringem operativen Risiko für den Patienten ermöglicht werden.


Stabilisierende Operationen
Zeigt sich ein höhergradiger Verschleiß bzw. eine ausgeprägte Instabilität, wird der betroffene Wirbelsäulenabschnitt versteift (Fusion). Kombiniert mit diesem Verfahren kann ggf. auch eine Erweiterung des Wirbelkanals (Dekompression) bei Verengung (Spinalstenose) erfolgen.

Wirbelkörperersatz
Bedingt durch eine Entzündung, einen Bruch oder eine Tumorerkrankung kann ein Wirbelkörper vollständig zerstört werden. Durch einen Platzhalter wird der betroffene Wirbelsäulenabschnitt rekonstruiert und stabilisiert.

Ausgewählte Publikationen
- Leopold VJ, Khakzad T, Köhli P, Hoehl R, Zahn RK, Pumberger M, Hoehl B: Validation of the subjective spine value in patients with adult idiopathic scoliosis, Archives of Orthopaedic and Trauma Surgery, November 2025; 145(1):504
- Löchel J, Hanisch M, Bürger J, Labbus K, Zahn RK: Association of spinopelvic anatomy with the level of lumbar disc herniation, Bioengineering, September 2025; 12(9): 993
- Gehlen T, Joost T, Solbrig P, Stahnke K, Zahn RK, Jahn M, Adl Amini D, Back DA: Accuracy of Artificial Intelligence Based Chatbots in Analyzing Orthopedic Pathologies: An Experimental Multi-Observer Analysis, Diagnostics, Januar 2025, 19;15(2):221.
- Löchel J, Putzier M, Dreischarf M, Grover P, Urinbayev K, Abbas F, Labbus K, Zahn RK: Artificial Intelligence for Fully Automated Measurement of Sagittal Balance in Adult Spinal Deformity, European Spine Journal, November 2024; 33(11):4119-4124
- Labbus K, Buerger J, Löchel J, Schäfer F, Putzier M, Zahn RK: Impact of individual spinopelvic anatomy on the localization and severity of symptomatic isthmic spondylolisthesis and severity of symptomatic isthmic spondylolisthesis, Global Spine Journal, November 2024; 14(8):2311-2316
- Meyer Günderoth M, Bannach-Brown A, Winkler T, Keller J, Zahn RK, Maleitzke T: Calcitonin treatment for osteoarthritis and rheumatoid arthritis - a systematic review and meta-analysis of preclinical data, EFORT Open Reviews, July 2024, 1;9(7):600-614
- Caffard T, Arzani A, Verna B, Tripathi V, Chiapparelli E, Medina SJ, Schönnagel L, Tani S, Camino-Willhuber G, Amoroso K, Guven AE, Zhu J, Tan ET, Carrino JA, Shue J, Malik HA, Zippelius T, Dalton D, Sama AA, Girardi FP, Cammisa FP, Hughes AP: Association Between Cervical Sagittal Alignment and Subaxial Paraspinal Muscle Parameters. Spine 2024; 49(9): 621-629
- Caffard T, Arzani A, Verna B, Tripathi V, Medina SJ, Schönnagel L, Chiapparelli E, Tani S, Camino-Willhuber G, Guven AE, Amoroso K, Zhu J, Tan ET, Carrino JA, Awan Malik H, Zippelius T, Shue J, Dalton DM, Sama AA, Girardi FP, Cammisa FP, Hughes AP: Association between severity of the cervical foraminal stenosis and paraspinal muscle parameters in patients undergoing anterior cervical discectomy and fusion.
J Neurosurg Spine 2024; 40(3): 274-281 - Leopold VJ, Hipfl C, Zahn RK, Pumberger M, Perka C, Hardt S: Periacetabular osteotomy with a modified fixation technique using K-wires shows comparable results to classic screw fixation at mid-term follow-up, Journal of Clinical Medicine, September 2023; 12(19): 6204
- Leopold VJ, Conrad J, Zahn RK, Hipf C, Perka C, and Hardt S: Fixation stability and implant-associated complications in periacetabular osteotomy: a comparison of screw and K-wire fixation, Archives of Orthopaedic and Trauma Surgery, February 2023; 143(2): 691-697
- Leopold VJ, Warminski N, Löchel J, Labbus K, Pumberger M, Zahn RK: Validation of the Subjective Spine Value - A new single item score for the assessment of spine-specific function, Archives of Orthopaedic and Trauma Surgery, November 2023
- Caffard T, Awan Malik H, Lutz B, Dobrindt O, Dornacher D, Faschingbauer M, Reichel H, Fuchs M, Zippelius T: Association between posterior tibial slope and anatomic spinopelvic parameters: a retrospective cross-sectional study. Eur Spine J. 2023; 32: 3616-3623
- Lindemann C, Strube P, Fisahn C, Sgroi M, Dornacher D, Zippelius T: Patient-controlled sublingual sufentanil tablet system versus intravenous opioid analgesia for postoperative pain management after lumbar spinal fusion surgery. Eur Spine J Off Publ Eur Spine Soc Eur Spinal Deform Soc Eur Sect Cerv Spine Res Soc. 2023; 32:321-328
- Lindemann C, Strube P, Fisahn C, Hölzl A, Rohe S, Sgroi M, Zippelius T: Next Level in Computed Tomography-Guided Periradicular Infiltration Therapy: Same Efficiency with Less Radiation Exposure. World Neurosurg. 2023 Mar;171:e24-e30. doi: 10.1016/j.wneu.2022.10.117. Epub 2022 Nov 2.
- Lindemann C, Zippelius T, Hochberger F, Hölzl A, Böhle S, Strube P. Local Infiltrations in Patients with Radiculopathy or Chronic Low Back Pain Due to Segment Degeneration-Only A Diagnostic Value? J Pers Med 2022; 12(11)
- Strube P, Lindemann C, Bahrke M, Brodt S, Sachse A, Reich LI, Hoelzl A, Zippelius TK. Improvement of Adolescent Idiopathic Scoliosis Primary Correction by Brace Design Optimization. Children (Basel) 2022; 9(5)
- Rohe S, Strube P, Hölzl A, Böhle S, Zippelius T, Lindemann C. Cone-Beam Navigation Can Reduce the Radiation Exposure and Save Fusion Length-Dependent Operation Time in Comparison to Conventional Fluoroscopy in Pedicle-Screw-Based Lumbar Interbody Fusion. J Pers Med 2022; 12(5)


