Kniegelenksarthrose
Auf dieser Seite erhalten Sie Informationen zur Arthrose des Kniegelenks und deren Behandlung. Bitte beachten Sie in diesem Zusammenhang auch die allgemeinen Informationen zum Thema Arthrose und Gelenkersatz.
Aufbau des Kniegelenkes
Wenn wir gehen, stehen, hocken oder sitzen, bewegen wir das größte Gelenk des Körpers: das Kniegelenk. Es verbindet den Oberschenkelknochen mit dem Schienbein, die artikulierenden Gelenkflächen sind dabei die Oberschenkelrolle und der Schienbeinkopf. Ein Teil des Kniegelenks wird durch die Kniescheibe gebildet, die als Unterstützpunkt für die Kraftentwicklung der Quadrizepsmuskulatur dient. Das Kniegelenk kann im Wesentlichen nur in einer Ebene (Streckung/Beugung) bewegt werden. Nur am gebeugten Knie ist noch eine minimale Rotationsbewegung des Unterschenkels gegenüber dem Oberschenkel möglich. Als Gleitfläche sind die Gelenkpartner mit Knorpel überzogen, das Gelenk wird durch eine Kapsel abgedichtet, innerhalb derer zur Reduktion des Widerstandes und der Ernährung des Knorpels Gelenkschmiere durch die Gelenkinnenhaut gebildet wird. Ähnlich einem Stoßdämpfer wirkt dieses hydraulische Prinzip und wird unterstützt durch die Menisci: halbmondförmige knorpelige Scheiben, die innen und außen zwischen den Gelenkflächen liegen.

Kniearthrose
Die Arthrose ist ein meist altersbedingter Verschleiß eines Gelenkes, bei dem es zu einem Knorpelabrieb kommt. Die Abriebpartikel verursachen eine Entzündungsreaktion, die zu vermehrter Schmierflüssigkeitsbildung führt. Zudem wirkt die Entzündung ab einem gewissen Grade selbst knorpelzerstörend, was zu noch mehr Knorpelzersetzung führt. Außerdem reagiert der Knochen auf die zunehmende Belastung zunächst mit stärkerer Verkalkung (Sklerosierung). Später wird er in die selbstzerstörende Entzündungsreaktion mit einbezogen. Es wird Knochen abgebaut und Zysten entstehen. Dafür bildet der Körper am Gelenkrand knöcherne Anbauten (Osteophyten), um das zerstörte Gelenk langfristig zu versteifen und damit den Schmerzzustand zu beenden.
Die Arthrose verläuft also in verschiedenen Stadien, die gut auf dem Röntgenbild sichtbar und zu beurteilen sind, weshalb das Röntgenbild das wichtigste Diagnostikum bezüglich der Arthrose ist.
Die Erkrankung läuft wellenförmig ab, so dass auf stärkste Schmerzzustände durchaus Intervalle folgen können, die absolut schmerzfrei sind. Die Häufigkeit der Schmerzzustände nimmt aber im Verlauf der Erkrankung im selben Maße zu, wie sich die Dauer des beschwerdefreien Intervalls verkürzt.
Die wichtigste Botschaft in diesem Zusammenhang ist, dass Arthrose nicht heilbar ist und der Verlauf oft nur symptomatisch (lindernd) zu beeinflussen ist. Das heißt, wenn die Erkrankung soweit fortgeschritten ist, dass physikalische Therapiemaßnahmen, Schmerzmittel und entzündungshemmende Medikamente keinen Nutzen mehr bringen, bleibt als letzte Maßnahme nur der künstliche Gelenkersatz (Endoprothese). Für weiter Interessierte sei hier auf die Seite des Deutschen Arthrose Forums verwiesen.
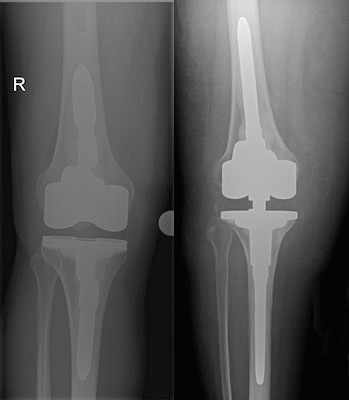
Gelenkersatz des Kniegelenkes
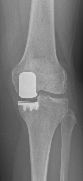
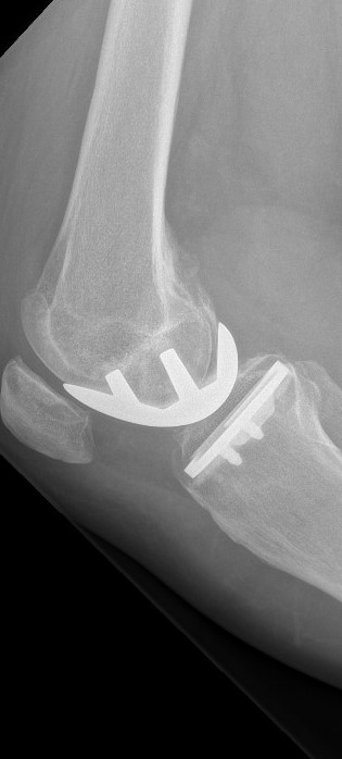
Das Kniegelenk besteht aus drei Gelenkkompartimenten: einem inneren, zentralen und äußeren Kompartiment. Die Kniescheibe bildet ein Widerlager und gleitet über den Oberschenkelknochen. Prinzipiell ist ein isolierter oder kombinierter Verschleiß vom inneren oder äußeren Gelenkkompartiment sowie auch dem Kniescheibenwiderlager möglich. Erkennt man die Erkrankung früh genug und ist der Leidensdruck entsprechend, so kann man die einzelnen Kompartimente isoliert ersetzen.






In der Orthopädischen Universitätsklinik in Ulm werden jährlich mehr als 500 Kniegelenksendoprothesen implantiert. Wir dürfen deshalb von uns behaupten, dass wir über die große Expertise verfügen, die Sie von uns erwarten.
Wir halten ein großes Portfolio moderner und bewährter Prothesen vor, die sich entsprechend den o.g. Ausführungen vom Prothesendesign unterscheiden. Innerhalb des Designs liegen verschiedene Ausführungen und verschiedene Größen vor, so dass wir je nach Krankheitsbild für Sie eine individualisierte Versorgung anbieten können. Bei entsprechender Indikation kann der Kniegelenkersatz auch mit robotischer Unterstützung erfolgen, die Prinzipien werden in dem nachfolgenden Artikel aus FOCUS-Gesundheit 5/2023 verständlich dargestellt.
Focus-Artikel
Während Ihres ersten Besuches bei uns in der Ambulanz wird durch das persönliche Gespräch mit dem Arzt, die körperliche Untersuchung und anhand der Röntgenaufnahmen das Stadium der Arthose und Ihre persönliche Beeinträchtigung festgestellt. Bitte bringen Sie zu diesem Termin alle bereits durchgeführten Untersuchungen, alle Röntgen-, CT- oder MRT-Bilder, ggf. Arztbriefe bestehender Nebenerkrankungen oder einen etwaig vorhandenen Allergiepass etc. mit.
Sollte bei Ihnen eine Endoprothese in Frage kommen, wird durch Beurteilung verschiedener Faktoren der Prothesentyp aus dem o.g. Portfolio für Sie ausgesucht.
Stationäre Aufnahme und Operation
Am Vortag der Operation erfolgt die stationäre Aufnahme. Durch den Aufnahmearzt und den erfahrenen Operateur wird erneut die Indikation zur Operation abschließend geprüft und die Operation verhindernde Faktoren (z.B. akute Erkrankung) werden ausgeschlossen. Während der Aufnahme erfolgt auch die Aufklärung über die Operation, bei der erneut die Risiken der Operation mit dem Nutzen abgewogen werden. Die Risiken der Operation sollen auch hier nicht unerwähnt bleiben: sie sind im Wesentlichen die Blutung, der Bluterguss, die Infektion, die Nervenläsion, die Thrombose sowie die Embolie. Der stationäre Aufenthalt wird ca. 5-7 Tage dauern. Anschließend wird eine Anschlussheilbehandlung (Rehabilitationsmaßnahme, kurz: Reha) empfohlen und für Sie eingeleitet.
Während des Eingriffes wird Ihr Gelenk gegen ein künstliches Gelenk ausgetauscht. Der Eingriff dauert etwa ein bis eineinhalb Stunden und kann in Allgemein- oder Teilnarkose durchgeführt werden. Welche Art der Narkose für Sie in Frage kommt, wird Ihr Narkosearzt mit Ihnen besprechen. Durch das prä- und intraoperative Blutmanagement der Anästhesieabteilung werden Fremdblutkonserven normalerweise nicht benötigt. Am ersten postoperativen Tag werden Sie auf die Normalstation verlegt wo mit der Mobilisierung begonnen wird. Während des stationären Aufenthaltes werden Sie einen sicheren und selbständigen Gang wiedererlernen – in der Regel ohne Belastungseinschränkungen. Ein Hauptaugenmerk liegt in der Wiederherstellung der Beweglichkeit des Kniegelenkes. Bis zur Entlassung sollte ein Bewegungsausmaß von voller Streckung und mindestens 90° Beugung, unabhängig vom präoperativen Befund, vorliegen.
Die Entlassung erfolgt, wenn Wund- und Weichteilverhältnisse regelhaft abgeheilt sind, Sie einen sicheren Gang erlernt haben, und keine medizinischen Gründe gegen eine Entlassung oder eine Verlegung in die Anschlussheilbehandlung sprechen.
Ausgewählte Publikationen
- Faschingbauer M, Freisem K, Khury F, Martin JR, Bieger R, Reichel H: Tourniquet does not affect intraoperative kinematics during total knee arthroplasty: Results of a prospective study using a robotic assistance system. Knee Surg Sports Traumatol Arthrosc. 2024; 32: 678-84
- Faschingbauer M, Hambrecht J, Schwer J, Martin JR, Reichel H, Seitz A: Tibial insert design significantly alters knee kinematics using a single cruciate-retaining total knee implant. Bone Jt Open. 2024; 5: 592-600
- Fuchs M, Geiges C, Zippelius T, Reichel H, Freitag T: Robotergestützte Rehabilitation nach Knieendoprothese: Sinn oder Unsinn? Knie J. 2024 Jan 26 (published online)
- Khury F, Oltmanns M, Unseld T, Fuchs M, Reichel H, Faschingbauer M: Which knee phenotypes exhibit the strongest correlation with cartilage degeneration? Clin Orthop Relat Res. 2024; 482:500-510
- Ludwig M, Faschingbauer M, Reichel H, Freitag T: Dramatic failure of an OXINIUM total knee arthroplasty with a massive pseudotumor formation. Arthroplasty Today. 2024; 30: 101479
- Sterneder CM, Faschingbauer M, Haralambiev L, Kasparek MF, Boettner F: Why Kinematic Alignment Makes Little Sense in Valgus Osteoarthritis of the Knee: A Narrative Review. J Clin Med 2024; 13(5)
- Weis S, Seifert L, Oltmanns M, Khury F, Bieger R, Faschingbauer M: The Etiology of Total Knee Arthroplasty Failure Influences on Improvement in Knee Function: A Follow-Up Study. J Clin Med 2024; 13(24)
- Faschingbauer M, Reichel H: Knieendoprothetik: Implantate/Implantatsysteme. In: Wirtz D, Reichel H (Hrsg.) AE-Manual Endoprothetik des Kniegelenkes, Springer, 2023, S. 65-83
- Streck LE, Faschingbauer M, Brenneis M, Boettner CS, List K, Kasparek MF, Boettner F: Individual Phenotype Does Not Impact the Outcome of Mechanical Aligned Total Knee Arthroplasties for Valgus Osteoarthritis. Medicina (Kaunas). 2023 Oct 18;59(10):1852. doi: 10.3390/medicina59101852. PMID: 37893570; PMC10608527
- Bieger R, Reichel H: Knieendoprothetik: Perioperatives Management. In: Wirtz D, Reichel H (Hrsg.) AE-Manual Endoprothetik des Kniegelenkes, Springer, 2023, S. 139-150
- Pfitzner T, Kirschbaum S, Fuchs M, Perka C: Knieendoprothetik: Revisionsendoprothetik in der aseptischen Situation. In: Wirtz D, Reichel H (Hrsg.) AE-Manual Endoprothetik des Kniegelenkes, Springer, 2023, S. 307-336
- Lutz B, Polcikova L, Faschingbauer M, Reichel H, Bieger R. The epicondylar ratio can be reliably determined in both computed tomography and X-ray. Arch Orthop Trauma Surg 2022; 142(6):1185-1188
- Fuchs M, Faschingbauer M, Riklin-Dold M, Morovic P, Reichel H, Trampuz A, Karbysheva S. D-lactate is a promising biomarker for the diagnosis of periprosthetic joint infection. Front Surg 2022; 9
- Khury F, Oltmanns M, Fuchs M, Leiprecht J, Reichel H, Faschingbauer M. Against the Norm: Do Not Rely on Serum C-Reactive Protein and White Blood Cell Count Only When Assessing Eradication of Periprosthetic Joint Infection. Antibiotics (Basel) 2022; 11(9)