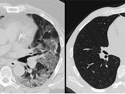
Am Universitätsklinikum Ulm wurden die ersten roboter-assistierten Operationen an der Lunge mit dem „daVinci” durchgeführt
Rückblick auf herausfordernde Corona-Jahre
Informationsveranstaltung zu Vorsorge und Behandlung von Darmkrebs
Aufarbeitung der Auswirkungen eines Missbrauchsfalls
Internes Schreiben des UKU zur Sammlung von Hilfsgütern im Kontext der Erdbeben in der Türkei und Syrien
Prof. Dr. Jörg Fegert stellt sein Buch zur Anerkennung psychischer Traumafolgen vor
Unterstützung für die Forschung
Das deutschlandweite Forschungsprojekt „PsyLoCo“ soll Patient*innen mit Long-/Post-COVID zu mehr Lebensqualität verhelfen
Kinderonkologie des Universitätsklinikums Ulm erhält MOTOmed
Innenminister Strobl: „Mit den Ergebnissen der PULS-Studie können wir die psychosoziale Betreuung unserer Polizistin-nen und Polizisten weiter…