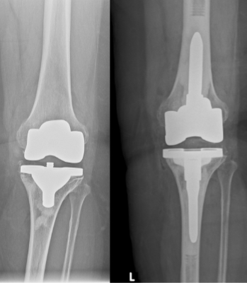
Wechselendoprothetik des Kniegelenks
Keine eingebaute Prothese hält ewig, vielmehr ist die Standzeit der Prothesen begrenzt. Meist liegt sie zwischen 10 bis 15 Jahren. Im Laufe dieser Zeit kommt es infolge von Abriebpartikeln zu einer Entzündungsreaktion, die dazu führt, dass Knochen abgebaut wird, und die Prothese somit aus dem Knochenbett auslockert. Durch diesen Prozess wird der Knochen geschwächt, so dass es bei nachgewiesener Lockerung zu einer zeitnahen Versorgung kommen sollte. Prinzipiell können die Prothesenteile isoliert von einander locker werden (Oberschenkelrollenkomponente oder Schienbeinkopfkomponente), es können aber auch beide Teile (Oberschenkelrollenkomponente und Schienbeinkopfkomponente) von der Lockerung betroffen sein.
Ein wesentlicher Unterschied für die weitere Behandlung liegt in der Tatsache, ob bei der Lockerung Bakterien beteiligt waren oder nicht. Wir legen enormen Wert darauf, vor jeder Wechsel-Operation herauszufinden, ob Bakterien anwesend sind oder nicht. Denn ist die Lockerung auf eine von Bakterien verursachte Entzündung zurückzuführen, liegt eine Infektion vor. In diesem Fall muss neben der Implantatlockerung vor allem die Infektion (Osteomyelitis) behandelt werden. Hierzu muss die gesamte Prothese, unabhängig von ihrem Lockerungsgrad entfernt werden. Die Prothese wird dann durch einen antibiotikahaltigen Platzhalter ersetzt. Im Anschluss an die 6-wöchige Behandlung mit Antibiotika kann dann nach in der Regel 6 Wochen die Reimplantation erfolgen (zweizeitige Wechseloperation).
Ist die Lockerung allein auf eine Entzündungsreaktion aufgrund des Abriebs zurückzuführen, sind also keine Bakterien vorhanden, dann kann der Wechsel in einer Operation erfolgen und vom Lockerungsgrad der Komponenten abhängig gemacht werden. Hierbei wird dann stets nur der lockere Anteil gewechselt.

In der Orthopädischen Universitätsklinik in Ulm werden jährlich über 50 Prothesenwechsel am Knie durchgeführt. Wir dürfen deshalb von uns behaupten, dass wir über eine große Expertise verfügen. Wie in der Primärendoprothetik halten wir auch für die Wechselsituation ein großes Repertoire an Revisions-, Sonder- und Spezialimplantaten vor, um auf die besondere Situation in der Wechselsituation (große knöcherne Defekte, schlechte Knochenqualität, Knochenbrüche neben dem Implantatlager) reagieren zu können. Hierdurch ist gewährleistet, die biologische Situation des Gelenkes erneut möglichst gut zu rekonstruieren.
Wird während Ihres Besuches bei uns in der Ambulanz durch das persönliche Gespräch mit dem Arzt, die körperliche Untersuchung und anhand der Röntgenaufnahmen eine Prothesenlockerung festgestellt, so wird in der Regel am gleichen Tag eine Punktion des betroffenen Gelenkes durchgeführt. Die anschließende mikrobiologische Untersuchung des gewonnenen Materials versucht, Bakterien nachzuweisen. Um ganz sicher zu gehen, dass keine Keime „übersehen“ werden, wird das Material 14 Tage „bebrütet“. Das endgültige Ergebnis steht also erst nach 14 Tagen fest. Zu diesem Zeitpunkt wird das weitere Vorgehen (einzeitiger oder zweizeitiger Wechsel) festgelegt und mit Ihnen besprochen.
Ausgewählte Publikationen
- Faschingbauer M, Freisem K, Khury F, Martin JR, Bieger R, Reichel H: Tourniquet does not affect intraoperative kinematics during total knee arthroplasty: Results of a prospective study using a robotic assistance system. Knee Surg Sports Traumatol Arthrosc. 2024; 32: 678-84
- Faschingbauer M, Hambrecht J, Schwer J, Martin JR, Reichel H, Seitz A: Tibial insert design significantly alters knee kinematics using a single cruciate-retaining total knee implant. Bone Jt Open. 2024; 5: 592-600
- Fuchs M, Geiges C, Zippelius T, Reichel H, Freitag T: Robotergestützte Rehabilitation nach Knieendoprothese: Sinn oder Unsinn? Knie J. 2024 Jan 26 (published online)
- Khury F, Oltmanns M, Unseld T, Fuchs M, Reichel H, Faschingbauer M: Which knee phenotypes exhibit the strongest correlation with cartilage degeneration? Clin Orthop Relat Res. 2024; 482:500-510
- Ludwig M, Faschingbauer M, Reichel H, Freitag T: Dramatic failure of an OXINIUM total knee arthroplasty with a massive pseudotumor formation. Arthroplasty Today. 2024; 30: 101479
- Sterneder CM, Faschingbauer M, Haralambiev L, Kasparek MF, Boettner F: Why Kinematic Alignment Makes Little Sense in Valgus Osteoarthritis of the Knee: A Narrative Review. J Clin Med 2024; 13(5)
- Weis S, Seifert L, Oltmanns M, Khury F, Bieger R, Faschingbauer M: The Etiology of Total Knee Arthroplasty Failure Influences on Improvement in Knee Function: A Follow-Up Study. J Clin Med 2024; 13(24)
- Streck LE, Faschingbauer M, Brenneis M, Boettner CS, List K, Kasparek MF, Boettner F: Individual Phenotype Does Not Impact the Outcome of Mechanical Aligned Total Knee Arthroplasties for Valgus Osteoarthritis. Medicina (Kaunas). 2023 Oct 18;59(10):1852. doi: 10.3390/medicina59101852. PMID: 37893570; PMC10608527
- Lutz B, Polcikova L, Faschingbauer M, Reichel H, Bieger R. The epicondylar ratio can be reliably determined in both computed tomography and X-ray. Arch Orthop Trauma Surg 2022; 142(6):1185-1188
- Fuchs M, Faschingbauer M, Riklin-Dold M, Morovic P, Reichel H, Trampuz A, Karbysheva S. D-lactate is a promising biomarker for the diagnosis of periprosthetic joint infection. Front Surg 2022; 9
- Khury F, Oltmanns M, Fuchs M, Leiprecht J, Reichel H, Faschingbauer M. Against the Norm: Do Not Rely on Serum C-Reactive Protein and White Blood Cell Count Only When Assessing Eradication of Periprosthetic Joint Infection. Antibiotics (Basel) 2022; 11(9)